{"id":"491004","toptitle":"","toptitle_color":"","title":"四川大学华西医院宜宾医院援非医疗队成功完成颅内巨大肿瘤切除手术","title_color":"","subtitle":"","subtitle_color":"","crtime":"2023-10-13 15:06:52","condition":"来源:健康报","thumb": "image/20231011161819_12028.png"}
当地时间2023年9月7日,四川省宜宾市第二人民医院·四川大学华西医院宜宾医院(简称华西宜宾医院)第20批中国援佛得角医疗队队员成功为一名53岁颅内巨大肿瘤的女性患者实施高难度手术。目前,患者恢复良好,已康复出院。 此前,该患者因长期头昏头痛到当地的普拉亚中心医院神经内科...
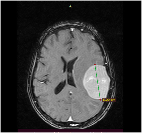
  当地时间2023年9月7日,四川省宜宾市第二人民医院·四川大学华西医院宜宾医院(简称华西宜宾医院)第20批中国援佛得角医疗队队员成功为一名53岁颅内巨大肿瘤的女性患者实施高难度手术。目前,患者恢复良好,已康复出院。

  此前,该患者因长期头昏头痛到当地的普拉亚中心医院神经内科就诊,在完善了头颅CT和MRI检查后,医生判断其患脑膜瘤的可能性较大。


  头颅MRI提示有脑膜瘤可能


  华西宜宾医院援非医疗队队员吴蛟收到神经内科会诊通知,协助诊治该患者。经仔细查体、问询病史,吴蛟决定对患者进行手术治疗。当地医院医疗资源、设备及专业人员极为匮乏,该院神经外科之前从未开展过此类颅内肿瘤切除手术。尽管手术风险极高,但为了拯救患者生命,吴蛟与同事深入沟通、分析,仔细讨论并制订手术方案及相关预案,在医疗队重症医学科兰蕴平及麻醉科医生刘宇的支持下,患者接受了手术治疗。
  术后,患者转入中国医疗队负责的重症医学科接受精心监护。令人欣喜的是,患者恢复情况非常好,术后第二天便已完全清醒,且能坐立、下床,肢体功能明显好转,语言功能完全正常,没有出现任何并发症。

  此次手术的成功,标志着普拉亚中心医院在颅内巨大肿瘤手术治疗方面实现零的突破。在医疗资源、设备极其匮乏的情况下,中佛两国医疗团队通力合作、迎难而上,为患者带来了新生,为两国的友谊添上了浓墨重彩的一笔。


  文图:吴慧
  编辑:张方飞 刘欣茹

  审核:王政清 韩璐